Composite Fillings
When treating a cavity, the dentist will remove the decayed portion of your tooth and fill it with another substance. This procedure is called a filling. There are multiple options for the material to be used in the filling, the most common of which are composite fillings and amalgam fillings.
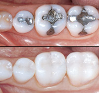
A composite filling is also known as a tooth colored filling, since the material used in the filling can be closely matched to the color of your teeth. Composite fillings provide good durability for small to medium cavities, and the procedure typically involves removing less of a tooth than you would during an amalgam filling. They are also particularly well suited for treating front or highly visible teeth because of their natural look.
When can a composite filling be used for?
How its done
After the dentist numbs the area where the filling is to be placed, he will remove any decayed portions. A substance is then applied to help open up the pores of your teeth for a stronger bond, and hardened and cured with a special light. Once this is complete, the filling is applied in thin layers to slowly form the complete filling. After the composite has hardened, the filling will be smoothened and polished to be comfortable and fit your bite.
A composite filling is also known as a tooth colored filling, since the material used in the filling can be closely matched to the color of your teeth. Composite fillings provide good durability for small to medium cavities, and the procedure typically involves removing less of a tooth than you would during an amalgam filling. They are also particularly well suited for treating front or highly visible teeth because of their natural look.
When can a composite filling be used for?
- Decayed tooth (i.e. cavity)
- Chipped or broken teeth
- Decreasing the gap between teeth
How its done
After the dentist numbs the area where the filling is to be placed, he will remove any decayed portions. A substance is then applied to help open up the pores of your teeth for a stronger bond, and hardened and cured with a special light. Once this is complete, the filling is applied in thin layers to slowly form the complete filling. After the composite has hardened, the filling will be smoothened and polished to be comfortable and fit your bite.
